Паразиты длиной 17 см были вытащены из кожи жителей Херсона
Переглядів: 1499
18 лютого 2019 17:30

Из-под кожи четырех жителей Херсона достали паразитов редких видов. Длина глистов достигала 17 сантиметров.
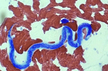
В Херсоне из-под кожи четырех жителей изъяли гельминтов редких видов. Длина паразитов достигала 17 сантиметров, сообщила пресс-служба Херсонского областного лабораторного центра Минздрава.
"Из редких видов гельминтозов было зарегистрировано четыре случая дирофиляриоза в Херсоне. Все случаи местные, заражения возникли вследствие укусов комаров", - говорится в сообщении.
Указано, что по локализации гельминты были в височной области головы и руках.
"Больные обращались за медицинской помощью самостоятельно с жалобами: наличие опухоли, боль, жжение, покраснение, зуд, передвижение паразита под кожей. Их прооперировали, длина удаленных гельминтов достигала от 10 до 17 см", - доложили в лабцентре.
Там также добавили, что за год в Херсонской области обследовали на паразитарные заболевания 218 тысяч человек (20,8% населения), у 2068 человек обнаружены глисты 12 видов.
"Показатель заболеваемости на 100 тыс. населения - 194,9 против 204,6 в 2017 году при среднем по стране 235,7. У 91,5% обнаруживали энтеробиоз (чаще всего у детей - 83%)", - отчитались в ведомстве.
Источник: korrespondent
В Херсоне из-под кожи четырех жителей изъяли гельминтов редких видов. Длина паразитов достигала 17 сантиметров, сообщила пресс-служба Херсонского областного лабораторного центра Минздрава.
"Из редких видов гельминтозов было зарегистрировано четыре случая дирофиляриоза в Херсоне. Все случаи местные, заражения возникли вследствие укусов комаров", - говорится в сообщении.
Указано, что по локализации гельминты были в височной области головы и руках.
"Больные обращались за медицинской помощью самостоятельно с жалобами: наличие опухоли, боль, жжение, покраснение, зуд, передвижение паразита под кожей. Их прооперировали, длина удаленных гельминтов достигала от 10 до 17 см", - доложили в лабцентре.
Там также добавили, что за год в Херсонской области обследовали на паразитарные заболевания 218 тысяч человек (20,8% населения), у 2068 человек обнаружены глисты 12 видов.
"Показатель заболеваемости на 100 тыс. населения - 194,9 против 204,6 в 2017 году при среднем по стране 235,7. У 91,5% обнаруживали энтеробиоз (чаще всего у детей - 83%)", - отчитались в ведомстве.
Источник: korrespondent
Anonim
19 лютого 2019 г. (03:16)
Ответить
Думаю таких больных уже сотни тысяч и будет все больше , просто скрывают . Это глисты не от укусов комаров, а от некачественной пищи питания и если проще то люди едят что попало уже, что бы выжить . Возможно даже специально проводят эксперименты в Украине. Именно такими глистами заражены больше половины жителей сев кореи . Вот и думайте что и как, а не эту муть про комаров
Схожі новини: