Мелитопольцев зовут сделать рентген легких
Переглядів: 6150
7 липня 2018 18:49

В Мелитополе зовут на бесплатную флюорографию
Запорожская область занимает лидирующую позицию в антирейтинге заболеваемости туберкулезом - на 100 тысяч 57 заболевших. А в нашем городе статистика еще хуже - на 100 тысяч населения Мелитополя 87 человек больны различными формами туберкулеза.
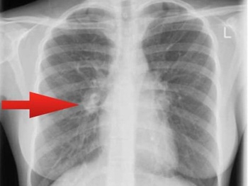
Поэтому в Мелитопольском горздравотделе напоминают о необходимости ежегодно делать флюорографию. Тем более, что анализ этот бесплатный.
Как сообщила руководитель горздравотдела Лариса Сапрыкина, рентген легких можно сделать в амбулатории по бул. 30 лет Победы, 2А или в "зеленой" поликлинике (ул. И. Алексеева, 7).
- Еще раз подчеркну, что флюорографию делают бесплатно и для этого не нужно направление врача, - отметила Лариса Александровна.
Напомним, туберкулез - инфекционное заболевание, поражающее легкие, а также кости, суставы, кишечник.
Поэтому в Мелитопольском горздравотделе напоминают о необходимости ежегодно делать флюорографию. Тем более, что анализ этот бесплатный.
Как сообщила руководитель горздравотдела Лариса Сапрыкина, рентген легких можно сделать в амбулатории по бул. 30 лет Победы, 2А или в "зеленой" поликлинике (ул. И. Алексеева, 7).
- Еще раз подчеркну, что флюорографию делают бесплатно и для этого не нужно направление врача, - отметила Лариса Александровна.
Напомним, туберкулез - инфекционное заболевание, поражающее легкие, а также кости, суставы, кишечник.
Anonim
7 липня 2018 г. (19:10)
Ответить
а как же Супрун? она объявила что флюшка уже не нужна, диагноз можно поставить по телефону.
Флюшка определяет туберкулёз только уже последней стадии. Она не эффективна. Надо запретить боклашки использовать для молока и постного масла и прочего вторично. Вот я пью минералку литрами с горла и выбрасываю в контейнер для пластика, а я болен туберкулёзом. Мои бутылки берут бомжи и продают молочникам. туберкулёз может исчезнуть при термобработке. Но при термобработке покаробиться пластиковая бутылка. вот от куда массовые зараджения туберкулёза. Наша проблема, что мы импользуем многоразово одноразовую тару.
Пока нет другой альтернативы, и поэтому нужна флюорография. Наши медики ещё не умеют определять группу риска и проводить анкетирование, как предлагает Супрун. Да и к врачу обращаются только в крайних случаях. Поэтому нужно самому о себе подумать, хоть в ранней стадии, хоть в поздней
я вообще не доверюя министру здравохранения который путает вакцину с сывороткой !!!! и который до сих пор не предоставил документы о медобразовании !!! как такое существо может что то советовать а тем более реформировать ????? меньше слушайте тот бред обдолбаной санитарки
28.08.2019 был, сказали иди за направлением врача.
"Нам слишком мало платят по 1000 грн." Жаловались, что весь день делали без направления а я теперь....
Схожі новини: