В Запорожской области от туберкулеза умер школьник: других детей не проверяют
29 січня 2020 19:26

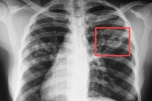
В социальной сети житель Запорожской области распространил информацию о смерти школьника от опасной болезни — туберкулеза
Пользователь социальной сети рассказал, что мальчик болел в течение двух лет, в настоящее время посещая школу. После смерти ребенка, заболевание в закрытой форме диагностировали у еще одного ученика ООШ №3 в городе Каменка-Днепровская.
Как пишет портал Депо.Запорожье, в Департаменте здравоохранения Запорожской ОГА факт смерти школьника подтвердили — ребенок умер в декабре. Сейчас директор Департамента Евгения Рубанова отказалась называть номер школы, населенный пункт, в котором это произошло и возраст умершего ребенка со ссылкой на защиту персональных данных.
Чиновница также не подтвердила и не опровергла информацию о других случаях заболевания туберкулезом в школьном учреждении. С ее слов выходит, что нет проверки других школьников и меры по дезинфекции в школе по состоянию на сегодня не проводятся.
Источник: tv5.zp.ua