Врачи достали из желудка ребенка более одного килограмма волос
Переглядів: 833
4 березня 2019 16:04

У восьмилетней девочки была привычка жевать свои волосы. Огромный ком волос едва не убил девочку.
В Китае восьмилетняя девочка попала в больницу из-за огромного колтуна волос в желудке. Об этом сообщает The Mirror.
Восьмилетняя Фейфей пожаловалась матери на боли в желудке. Девочку тошнило, а ее живот распух. Когда симптомы не прошли за неделю, мать отвезла девочку в больницу.
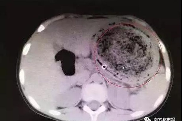
Когда промывание желудка не дало никакого результата, врачи сделали компьютерную томографию. На снимке специалисты обнаружили огромный комок волос с застрявшими в нем кусками еды.
Врачи сделали операцию и извлекли полуторакилограммовый комок волос. Сейчас девочка проходит послеоперационную реабилитацию.
.jpg)
Источник: Корреспондент
В Китае восьмилетняя девочка попала в больницу из-за огромного колтуна волос в желудке. Об этом сообщает The Mirror.
Восьмилетняя Фейфей пожаловалась матери на боли в желудке. Девочку тошнило, а ее живот распух. Когда симптомы не прошли за неделю, мать отвезла девочку в больницу.
Когда промывание желудка не дало никакого результата, врачи сделали компьютерную томографию. На снимке специалисты обнаружили огромный комок волос с застрявшими в нем кусками еды.
Врачи сделали операцию и извлекли полуторакилограммовый комок волос. Сейчас девочка проходит послеоперационную реабилитацию.
.jpg)
Источник: Корреспондент
Схожі новини: