В Запорожской облбольнице помогают встать на ноги пациентам после ДТП
23 червня 2018 11:50

Оскольчатые переломы конечностей – распространенные травмы при ДТП. При таких сложных повреждениях человек зачастую на несколько месяцев выпадает из активной жизни, пребывая «закованным» в гипс или специальные аппараты. Это отнимает много времени, сил и нервов.
К счастью, сейчас специалисты помогают пациентам стать на ноги гораздо быстрее. Например, из травматологического отделения Запорожской областной клинической больницы пациентов выписывают уже на 10-й день после операции!
Один из них – Олег, 30-летний житель Веселовского района. Это сейчас он спокойно вспоминает события того дня, когда случилась авария. А тогда из-за травмы он был практически обездвижен. Олег делится, что в день аварии ехал на работу за рулем, машину занесло и как результат ДТП. Скорая помощь забрала молодого человека в Веселовскую ЦРБ, а через два дня его перевели в Запорожскую областную больницу для хирургического лечения.
- Оскольчатые переломы длинных трубчатых костей - голени, плеча, бедра - достаточно частая травма, - говорит заведующая отделением травматологии ЗОКБ Ольга Богдан. – И это не только последствия ДТП, как у Олега, но и «побочный эффект» увлечения популярными нынче видами спорта - горными лыжами, роликами, скейт- и сноубордами. Особенно подвержены таким травмам молодые активные люди.
- И как травматологи лечат таких пациентов?
- Традиционно такие переломы лечат с помощью аппаратов внешней фиксации, например, аппарата Илизарова, или накостных пластин с набором винтов. На место перелома накладывают пластину и закрепляют ее на сломанной кости с помощью винтов или фиксируют кость спицами, закрепляя их в определенном положении, стабилизируя таким образом поврежденную конечность.
- Но, насколько я понимаю, мало того, что ношение аппарата – это неудобно для пациента, но еще и травматично …
- Да, эти методы имеют ряд недостатков. При использовании аппарата в месте прохождения спицы через ткани остается, по сути, открытая рана, поэтому существует постоянная угроза инфицирования. К тому же, аппарат - достаточно громоздкая конструкция и носить его постоянно не слишком комфортно. Установка накостной пластины - травматическая операция, так как приходится делать большой разрез.
- Пациента, которого госпитализировали в ваше отделение из Веселовской ЦРБ, вы лечили по-другому?
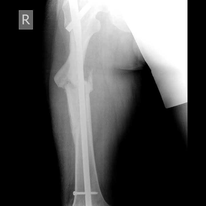
- Да, мы сделали пациенту закрытый интрамедуллярный остеосинтез. Суть его заключается в том, что в кость через небольшой (3-4 см) разрез вводится специальный штифт. Он вводится в кость вдали от места перелома, что снижает риск послеоперационных осложнений.
Преимуществами закрытого интрамедуллярного остеосинтеза являются малая травматичность хирургического вмешательства, минимальная потеря крови во время и после операции, возможность одномоментно провести остеосинтез переломов в нескольких местах. К тому же этот метод обеспечивает отличный косметический результат.
- Как быстро пациент после такой операции может стать на ноги?
- В большинстве случаев блокированный интрамедуллярный стержень или штифт настолько прочно фиксирует поврежденную кость, что уже на следующие сутки после операции пациенту разрешаются дозированная нагрузка на травмированную руку или ногу.
Слова Ольги Богдан подтверждает и Олег. Он делится, что уже на второй день после операции начал вставать, немного становиться на травмированную ногу, хотя при таком переломе ему грозила перспектива несколько месяцев провести в гипсе. Благодаря применению современных методик он не теряет время и надеется, что в скором времени полностью восстановится и будет жить как до аварии.
Интрамедуллярный остеосинтез с блокированием особенно эффективен:
- при многооскольчатых и сложных переломах;
- у больных с тяжелой множественной и сочетанной травмой;
- у больных с остеопорозом костей и у тучных пациентов.
Совершенное владение методикой и применение самых современных фиксаторов позволяет травматологам Запорожской областной больницы успешно справляться со сложнейшими травмами после ДТП.
.jpg)
.jpg)
Результат остеосинтеза - рентгенснимок после операции
.jpg)
Травматологи ЗОКБ в операционной
.jpg)
Уже через несколько дней после операции пациенты могут ходить с костылями