Мужчина 4 года жил со скальпелем в животе, который забыли хирурги
Переглядів: 869
16 січня 2018 12:13

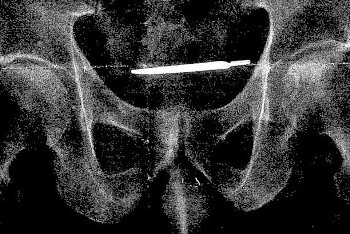
61-летний ветеран США Гленфорд Тернер из штата Коннектикут подал в суд на Министерство по делам ветеранов из-за скальпеля, который 4 года назад хирурги забыли в его теле.
Мужчина обратился в больницу из-за плохого самочувствия и нестерпимой боли. Попытка сделать МРТ была остановлена, поскольку боль усилилась.
Рентген показал, что в теле ветерана находится скальпель, который забыли после проведения операции в 2013 году.
В апреле 2017 мужчине сделали еще одну операцию, чтобы удалить предмет из тела.
Источник: Факты.ictv.
Мужчина обратился в больницу из-за плохого самочувствия и нестерпимой боли. Попытка сделать МРТ была остановлена, поскольку боль усилилась.
Рентген показал, что в теле ветерана находится скальпель, который забыли после проведения операции в 2013 году.
В апреле 2017 мужчине сделали еще одну операцию, чтобы удалить предмет из тела.
Источник: Факты.ictv.
Схожі новини: