На запорожском предприятии произошел несчастный случай
Переглядів: 1549
28 грудня 2015 19:23

На запорожском облэнерго произошел несчастный случай
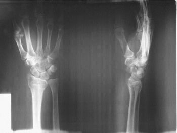
На запорожском облэнерго произошел несчастный случай. Женщина сломала лучевую кость.
Это уже второй несчастный случай на производстве на КП «Запорожоблэнерго», случившийся за последнюю неделю.
Инцидент произошел в минувшую пятницу, 25 декабря, около 11 утра. Об этом IPnews рассказал глава независимого профсоюза работников «скорой помощи» Анатолий Сидоренко.
По его информации, 45-летняя экономист предприятия упала с высоты своего роста. На место была вызвана бригада медиков. У женщины оказался перелом лучевой кости.
Источник:ipnews.in.ua
Это уже второй несчастный случай на производстве на КП «Запорожоблэнерго», случившийся за последнюю неделю.
Инцидент произошел в минувшую пятницу, 25 декабря, около 11 утра. Об этом IPnews рассказал глава независимого профсоюза работников «скорой помощи» Анатолий Сидоренко.
По его информации, 45-летняя экономист предприятия упала с высоты своего роста. На место была вызвана бригада медиков. У женщины оказался перелом лучевой кости.
Источник:ipnews.in.ua
Схожі новини: