Быстрое восстановление передних зубов
10 травня 2021 17:30

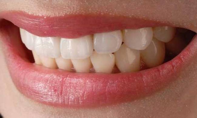
Обычное пломбирование не дает точное воссоздание первоначального вида зубов. Чтобы добиться первоклассной эстетики, используются светоотверждаемые композиты. Процедура называется реставрация из фотополимерного материала. Это позволяет изменить форму, цвет и даже размеры зуба. Материал устойчив к износу, имеет широкий спектр оттенков. Он полностью безопасен для организма.
Когда необходима реставрация
У процедуры восстановления зубов есть множество преимуществ, среди которых часто отмечают доступную стоимость. Достоинствами также являются:
- высокие показатели эстетики. После реставрации зуб приобретает нужную форму, цвет, а участки с фотополимерами не выделяются на общем фоне;
- универсальность. Процедура подходит для пациентов с высокой чувствительностью эмали;
- возможность восстановления не только передних, но и жевательных зубов.
Пломба из композитного материала используется в случае сохранения как минимум 60% ткани. Если зуб разрушен в большей степени, то врач может использовать винир или керамическую накладку. Реставрация фотополимерным материалом целесообразна в таких случаях:
- стирание режущего края;
- разные формы соседних зубов;
- изменение цвета эмали, появление пятен;
- сколы, трещины или другие повреждения;
- множественный кариес;
- межзубные щели (диастемы).
В случае невылеченного зуба сначала врач приводит его в порядок, затем выполняет реставрацию. Незначительные дефекты на эмали возможно устранить всего за один прием. Привлекательная улыбка и полная функциональность гарантированы на 7–10 лет.
Особенности процедуры
Для восстановления используется фотополимерная пломба, которая затвердевает под воздействием лампы. Материал пластичный, поэтому стоматолог может проделать ювелирную работу, воссоздавая послойно эмаль пациента. Готовая пломба очень прочная, эстетичная и долговечная. Отражающие свет полимеры выпускаются различных цветов и степени прозрачности, поэтому они способны скрыть даже темный металл.
Материал используется как для реставрации, так и для лечения. С его помощью можно даже воссоздать коронку, если она разрушена, но корень остался целым. Любой отреставрированный зуб будет полностью соответствовать анатомии. Он ничем не выделится среди других, приобретет естественный цвет и эстетичный вид. Установка пломбы проводится в несколько этапов, которые зависят в основном от сложности предстоящей работы:
- введение анестезии;
- обработка области с кариесом или очищение поверхности;
- использование специальных препаратов;
- нанесение кислоты на эмаль;
- промывка и просушивание;
- нанесение адгезивного материала;
- послойная реставрация композитом и просвечивание лампой.
В конце процедуры выполняют шлифовку, полирование зуба. За счет этого он приобретает необходимую гладкость и блеск, не ощущается во рту как инородный элемент. Уход за эмалью не будет отличаться от привычной гигиены ротовой полости, но важно регулярно посещать стоматолога для планового осмотра.
Источник: сайт dentalart.ua